Advanced Cosmetic, Implant and Periodontal Dentistry in Torquay, Devon
Where advanced dentistry Meets Confidence, Comfort, and Care.
About Parkhill Dental Practice
An Elevated Dental Experience Designed Around You
At Parkhill Dental, we believe exceptional dentistry is built on trust, expertise, and genuine personal care.
Led by Dr Agata Ciukiewicz, a highly qualified dentist with a Master’s level Special Interest in Periodontology and gum health, our approach blends clinical excellence with a warm, reassuring, and personal touch. Alongside her advanced periodontal expertise, Dr Agata also brings extensive experience in modern cosmetic dentistry — offering refined, natural-looking results delivered with precision and artistry.
Whether you’re restoring your smile, investing in your gum health, refining your appearance, or simply looking for a supportive dental team in Torbay, we’re here to guide you with clarity, precision, and compassion.
Meet Dr Agata Ciukiewicz DDS, MSc Periodontology (Plymouth University), PG Dip ClinDent (Bristol University), FHEA (Plymouth University)
Dentist with a Special Interest in Periodontology | Clinical Director
With over 25 years of clinical experience, Dr Agata combines Master’s level periodontal insight with modern cosmetic and restorative dentistry. She is committed to helping patients achieve strong foundations, healthy gums, and long-term confidence in their smiles.
Her focus is simple: to bring advanced expertise together with compassionate care, so you always feel fully informed and fully supported.
- DDS
- MSc Periodontology (U.Plymouth);
- PG Dip ClinDent (U.Bristol);
- FHEA (U.Plymouth)
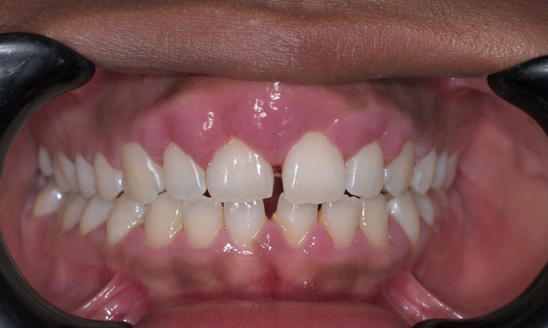
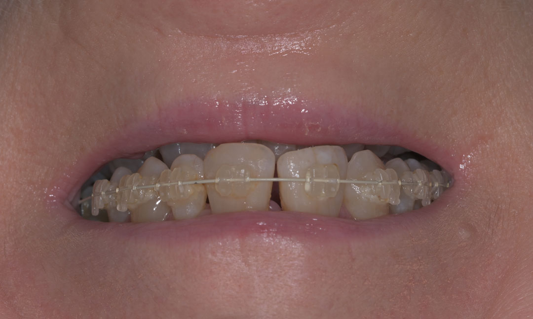
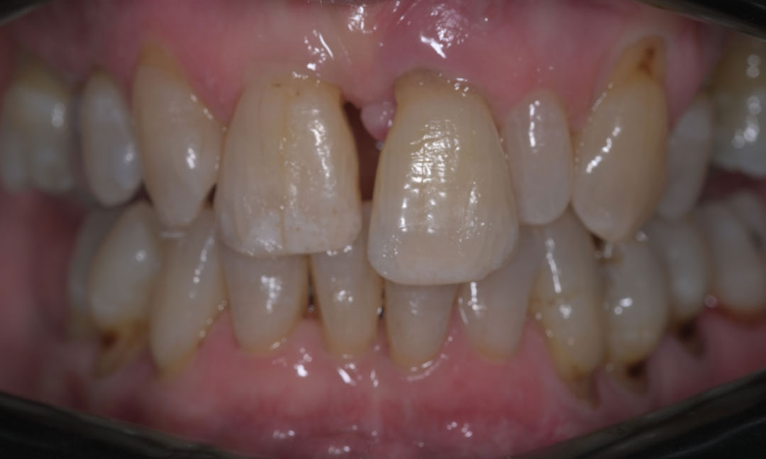
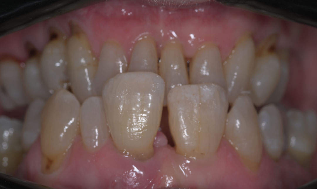
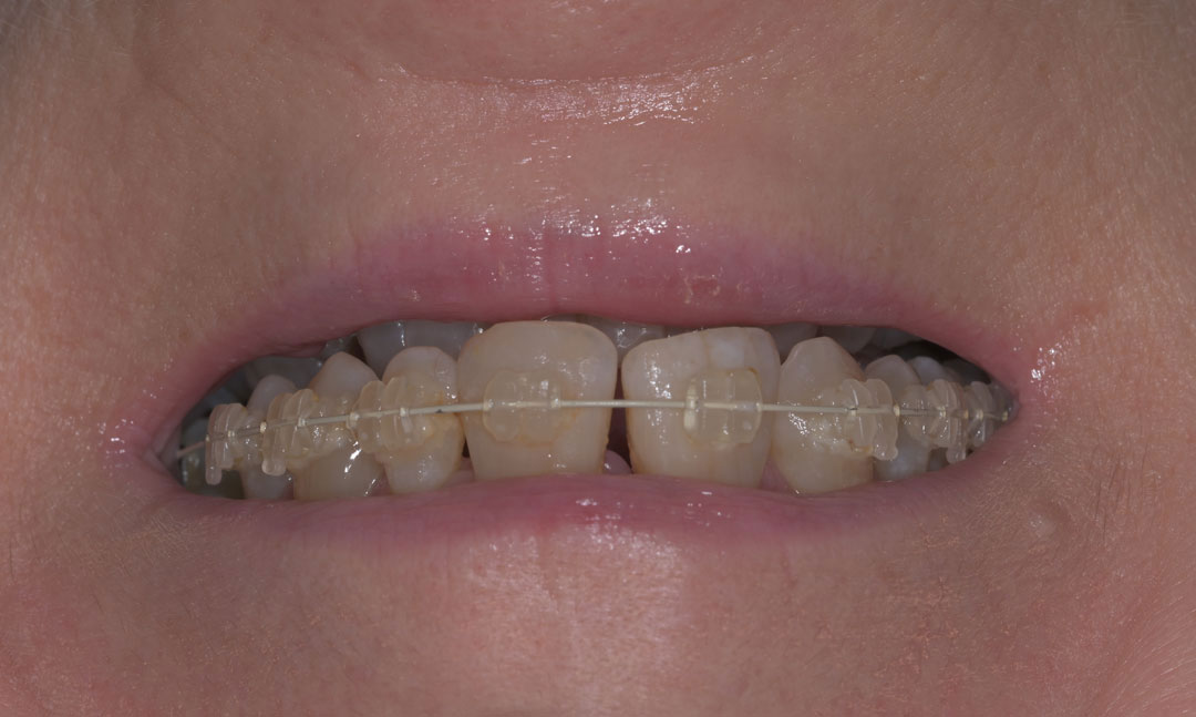
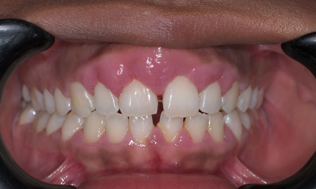
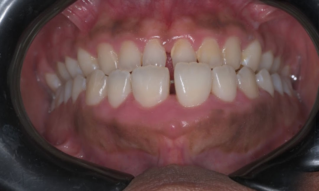
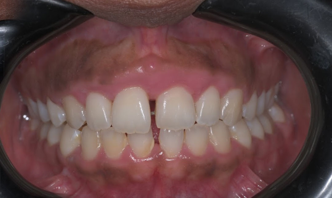
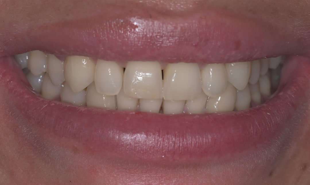
Our Work
Effective Solutions Confident Smiles
What We Offer
Modern Dentistry, Thoughtful Care
We offer a comprehensive range of treatments to cater to your individual dental health and cosmetic goals.
Cosmetic Dentistry
Sedation Dentistry
Dental Implants
Composite Bonding
Invisalign & Adult Orthodontics
Periodontal Treatment
Porcelain Veneers
General & Family Dentistry
Why Trust Us
We Build Trust & True Confidence
I recently had several appointments with Agata after a fall, and the care I received was exceptional. Agata and the team were kind, welcoming, and truly put me at ease. I’m so happy with the results—and even found myself laughing in the chair! Thank you!
Emily
Thank you Agata and team!
Thank you to Sandamali Chamali and her assistant for a great experience today. The three of us were in for our routine 6-month check-ups, & both were friendly, professional, and clear with their instructions. It was a smooth and pleasant visit much appreciated. Thank you again, ladies!
Paula Hughes
Very friendly & pleasant
I visited the practice for a tooth extraction and was quite nervous, but the dentist and nurse were incredibly kind and reassuring. I felt fully supported and in safe hands. The procedure was quick & painless— over before I knew it! A truly caring and professional practice. Thank you!
Merilyn
Needn’t have worried
My husband had severe toothache and needed an extraction after an X-ray. As he is disabled and uses a wheelchair, it’s difficult for him to visit the dentist but Agata kindly managed to carry out the procedure the same day. We’re very grateful for the excellent care.
Mr Kim Tusting
Tooth extraction
My partner and I are opposites—I’ve always loved the dentist, while he’s had a lifelong fear. Agata truly caters to all. She’s caring, professional, and personal. She created my perfect smile and helped my partner overcome his fear. We highly recommend this dental practice, especially the amazing Agata!
Nys
The perfect dentist
Your Smile. Your Confidence. Your Wellbeing.
Taking the first step is simple and friendly. Whether you're exploring options or ready for a new start, we're here to help you invest in your oral health.
Opening Hours
- Monday : 08.30 AM - 5.00PM
- Tuesday: 08.30 AM - 5.00PM
- Wednesday: 08.30 AM - 5.00PM
- Thursday: 08.30 AM - 5.00PM
- Friday: 08.00 AM - 3.00PM
- Saturday: Weekends Closed
- Sunday: Weekends Closed